脑袋大脖子粗的不一定都是老板儿,有可能是得了病

时间:2025-02-05 浏览量:658 来源: 作者:黄勇 胡浩

“脑袋大脖子粗,不是老板就是伙夫”这是小品中用来调侃的话,但是如果在生活中,发现脖子渐渐增“粗”,脸渐渐变“圆”,那可一定要提高警惕,这可能并不是富态的表现,而是上腔静脉受压了,要及时就医,排除上腔静脉综合征的可能。


75岁的刘阿姨,既往被确诊左肺腺癌IV期。近期,刘阿姨在家中出现了气紧、头面颈部及双上肢肿胀等症状,来到市四医院胸部肿瘤多学科门诊就诊。胸部CT提示其上腔静脉受压闭塞。为快速缓解刘阿姨的症状,各学科专家针对她的情况制定了详细的治疗方案,其中包括由介入微创治疗团队通过上腔静脉球囊扩张成形术及支架置入术,为患者重建上腔静脉血运。介入微创治疗团队成功为刘阿姨完成手术后, 她的呼吸困难症状立即得到了明显改善,术后第二天身体肿胀情况已经明显缓解,术后1个月门诊复查支架通畅,肿胀完全消失。

图片

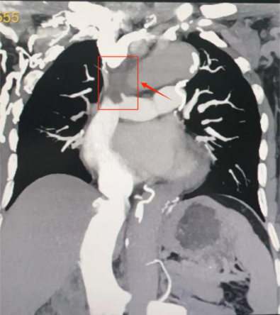
术前CT可见上腔静脉受压

图片

术中造影证实上腔静脉闭塞

图片

球囊扩张联合支架置入恢复

上腔静脉通畅

图片


图片

病因揭秘

图片


图片

上腔静脉梗阻的源头

图片
图片
图片
图片

上腔静脉综合征(SVCS)是指由各种原因导致的完全性或不完全性上腔静脉及其属支回流受阻,引起急性或亚急性呼吸困难和颜面颈部肿胀为特征的一组临床症候群。

上腔静脉在右侧第1胸肋结合处后方由左、右头臂静脉汇合而成,沿升主动脉右侧下行,至右侧第3胸肋关节下缘注入右心房。上腔静脉作为体内的重要交通枢纽之一,负责将来自头颈部、上肢及部分胸部的静脉血运送回心脏。

常见的病因为外源性压迫,包括恶性肿瘤(肺癌、淋巴瘤等)、肿大的淋巴结(恶性肿瘤转移、结核等)及纵隔原发的良性肿瘤(胸腺瘤、畸胎瘤等)对上腔静脉形成外源性压迫,造成头颈部、上肢的静脉血回不到心脏。其中以恶性肿瘤压迫最为常见。

图片
图片
图片
图片


图片

症状解读

图片


图片

身体发出的多个警示信号

图片
图片
图片
图片
图片

颜面部、颈部水肿

由于头颈部及上肢的静脉回流受阻,导致区域静脉压力升高,进而引起颜面部、头颈部、上胸部及双上肢水肿,以晨起时更为明显。

图片

颈、胸部浅静脉显露

上腔静脉阻塞后,静脉血回心受阻,导致侧支循环逐渐形成,表现为颈部、前胸部表浅静脉怒张。

图片

呼吸困难

表现为胸闷、气促,卧位时加重,坐位及站立位好转,严重时,可表现为端坐呼吸,不能平卧。

图片

神经系统症状

当上腔静脉快速阻塞时,侧支循环来不及形成,导致颅内静脉压力升高,引起眩晕、头痛、呕吐、一过性黑朦等症状。

图片
图片


图片

策略制定

图片


图片

治疗方案的合理选择

图片
图片
图片
图片
图片

基础治疗

包括卧床休息及吸氧,抬高床头以降低头颈部静脉的静水压,缓解症状。上腔静脉综合征患者进行静脉输液时,应避免上肢输液,以免加重症状。

图片

药物治疗

对于恶性肿瘤患者,应在明确肿瘤病理类型及分期后制定详细的治疗计划,包括局部的放疗,全身化疗及靶向治疗、免疫治疗。

图片

外科手术

适用于部分肿瘤压迫的患者,包括良性肿瘤及分期较早的恶性肿瘤(可根治性切除),可通过外科手术解除外源性压迫而达到缓解症状的目的。

图片

介入治疗

在介入微创技术飞速发展的今天,无论是良性还是恶性病因引起的上腔静脉梗阻或闭塞,血管内介入治疗均已成为首选治疗措施。介入治疗的优点包括快速缓解症状,技术成功率高,手术并发症发生率低。介入治疗可通过在上腔静脉狭窄(闭塞)段放置血管支架并联合使用扩张球囊以达到重建上腔静脉血运的效果。此外,介入治疗具有微创、快速缓解症状、风险较小等优点,患者往往会有手术后立竿见影的感觉,而且并不会对患者后续的外科手术及恶性肿瘤的组织学诊断造成影响,且可灵活地与其它治疗方式相结合,比如化疗、放疗、介入治疗等抗肿瘤治疗措施。

图片

扩张球囊

图片

 血管支架

图片

上腔静脉综合征介入手术过程示意图


上腔静脉综合征虽然发病率不高,但症状重,且影响患者的生活质量,明确诊断后应积极寻找病因,并进行治疗。若症状较重,日常生活及后续诊疗措施受到影响,可选择先行介入治疗,快速缓解症状,改善生活质量的同时,也为后续诊疗措施的稳步进行提供保障。

急救电话:0813-120  预约挂号电话:0813-2401126、0813-2401026 投诉电话:2300337 联系电话(传真):0813-2201981  电子邮箱:zg_120@126.com

檀木林院区:四川省自贡市自流井区檀木林街19号 汇东院区:四川省自贡市自流井区丹桂大街400号
办公时间:上午8:00-12:00,下午14:30-17:30(周一至周五,节假日除外)

蜀ICP备13006683号-1Copyright © 2002-2025 四川省自贡市第四人民医院 自贡市急救中心 四川卫生康复职业学院附属医院 All Rights Reserved