血压忽高忽低?看四医院介入团队一招揪出“捣蛋鬼”!

时间:2025-07-15 浏览量:27 来源: 作者:荣鹏

高血压患者,您是否遇到过这样的困扰——


明明按时吃了降压药,血压却像“过山车”一样忽高忽低?

抽血查出醛固酮升高,CT却找不到“真凶”?

医生建议做肾上腺静脉采血(AVS)检查,听起来有点吓人?实则一点也不用紧张,来听听市四医院介入室荣鹏医生怎么说。

图片
图片



图片

什么是肾上腺静脉采血?

图片
图片

如果把肾上腺比作一个“迷你工厂”,它生产的激素(比如醛固酮)就是控制血压和水盐平衡的“遥控器”。当“工厂”的某条生产线(左侧或右侧肾上腺)偷偷加班,过量分泌激素时,就会导致高血压、低血钾,甚至心脏和肾脏损伤。

图片


图片

AVS检查如同一次
“精准的抓贼行动”

图片
图片

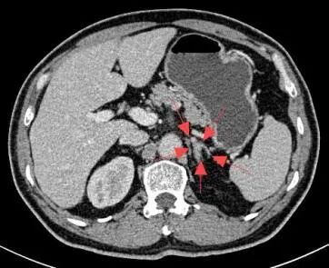
医生通过穿刺股静脉,送入一根细软的造影导管,寻找到肾上腺静脉后,像“抽血针”一样在双侧肾上腺的静脉里取少量血样,对比两边激素的“产量”,揪出捣乱的“生产线”。

图片
图片


图片

AVS检查关键优势

图片
图片


微创、高效

图片

手术时间短、采集效率高,针眼大小伤口,术后仅需卧床数小时。


精准、灵敏

图片

准确定位肾上腺优势分泌侧,精准度优于影像学检查,指导精准治疗。

图片


图片

AVS检查过程“三步走”,
轻松又安全

图片
图片


术前准备:
停对药,吃对饭

图片

药物调整:提前4周停用螺内酯(安体舒通)等干扰激素检测的药物,改用替代降压药(如氨氯地平)。

饮食建议:手术当天可吃清淡早餐(如粥、馒头),避免空腹引发低血糖。


术中操作:
精准“导航”,高效采血

图片

穿刺入路:从大腿根部(股静脉)穿刺,术后需卧床6小时。

导管“寻路”:医生在X光引导下,通过血管造影精准导航,将导管送至肾上腺静脉,过程约30分钟。

采血化验:左右两侧各取3-5毫升血(约一茶匙),检测醛固酮和皮质醇水平。


术后观察:
压迫止血,下床无忧

图片

需对穿刺点压迫止血并卧床休息6小时,确认无出血后再下床。

图片


图片

相关案例

图片
图片

58岁的杨先生患高血压多年,平日里血压控制不佳,近1年来出现血钾减低,间断进行补钾治疗后仍无法将血钾维持在正常范围。于是来到市四医院寻找原因,CT提示左侧肾上腺结节样增生,考虑杨先生存在原发性醛固酮增多症,为了明确双侧肾上腺的优势分泌侧来准确指导外科手术方案。医院介入室团队为患者进行了双侧肾上腺静脉采血术,血检结果提示左侧肾上腺为优势分泌侧。2周后,杨先生在泌尿外科接受了腹腔镜下左侧肾上腺切除术,术后血压恢复正常,无需药物辅助控制。

图片
图片
图片
图片
图片


图片

多学科协作,
助力患者解决难题

图片
图片

肾上腺只有指甲盖大小,但激素失控会让全身“遭殃”,AVS是国际指南推荐的“金标准”,其技术水平直接关系到疾病诊疗的精准性。AVS技术因其解剖复杂、操作精细度高、需多学科协作等特点。市四医院微创介入团队已常规开展肾上腺静脉采血,技术水平成熟,同时与内分泌代谢病科、泌尿外科、检验科等科室紧密协作,从术前筛查到精准采血和快速检测,到明确分型后的病灶切除,医院以多学科协作模式帮助高血压患者解决难题。

图片


图片

提醒

图片
图片

肾上腺静脉采血,虽名字“高冷”,实则是高血压精准治疗的“幕后功臣”。别因未知而恐惧,揪出高血压的“元凶”,才能更快摆脱药物依赖,拥抱健康生活。

图片


图片

医生介绍

图片
图片
图片

荣鹏,自贡市第四人民医院介入室主治医师,系四川省老年医学会介入专委会委员,2024年首届中国介入医师手术大赛全国十大人气医师。


专业擅长

图片

肿瘤介入手术及出血性疾病(尤其擅长咯血)的介入治疗,肺血管病的介入治疗,介入减重治疗,输液港 

急救电话:0813-120  预约挂号电话:0813-2401126、0813-2401026 投诉电话:2300337 联系电话(传真):0813-2201981  电子邮箱:zg_120@126.com

檀木林院区:四川省自贡市自流井区檀木林街19号 汇东院区:四川省自贡市自流井区丹桂大街400号
办公时间:上午8:00-12:00,下午14:30-17:30(周一至周五,节假日除外)

蜀ICP备13006683号-1Copyright © 2002-2025 四川省自贡市第四人民医院 自贡市急救中心 四川卫生康复职业学院附属医院 All Rights Reserved