这个病在中国已经消失,谨防境外输入

作者:马晓阳 刘速敏 时间:2023-04-25

20234月26日是我国第16“全国疟疾日”,今年的宣传主题是:谨防输入性疟疾,持续巩固消除成果。

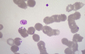
就在20234月19日,自贡市第四人民医院重症监护室就收治了一位从赤道几内亚务工回来的多器官功能衰竭的患者,病情十分危重,医生根据病人发热情况,申请了疟原虫镜检检查,检验科医生认真仔细的在显微镜下查看每一个细胞,终于在数以万计的正常红细胞中,发现了少数细胞中有拟似疟原虫的“身影”,最后经反复确认为恶性疟原虫。最终诊断为疟原虫感染合并多脏器功能衰竭。


 

1. 什么是疟疾?

疟疾是一人类疟原虫感染引起的寄生虫病,主要由按蚊叮咬传播。临床上出现一会冷、一会热、随后大汗后症状有所缓解为特点,俗称“打摆子”、 “冷热病”等。 

2. 疟疾是如何传播的呢?

疟疾的传播途径主要为感染疟原虫的按蚊叮咬人体后传播给人,只要被这种蚊虫叮咬后,不管你是男是女,是老是小,是黄种人还是黑种人都可能被感染。

 

3. 疟疾有哪些症状?

感染早期常无症状或症状不明显,随着疟原虫在体内的逐步繁殖,常表现为恶心、乏力、低烧、腹泻和肌肉酸痛等,易被误诊为感冒或胃肠道感染。当病情逐渐加重后,表现为周期性寒热发作。可出现贫血及进行性脾肿大。

4. 疟疾高发地区在哪里?

根据世界卫生组织的估计,全球每年有超过2亿人感染疟疾,其中超过40万人死亡。热带和亚热带是疟疾受累最严重的地区,这些地区围绕赤道形成了一条“疟疾带”,包括拉丁美洲、撒哈拉以南的非洲,南亚和东南亚。2021630日,世界卫生组织WHO宣布中国通过消除疟疾认证,成为WHO西太平洋区域30多年来第一个获得无疟疾认证的国家但随着国际交流合作的日益频繁,输入性疟疾风险依然长期存在。

 

 

5. 如何预防疟疾?

(1) 防蚊灭蚊:蚊子是疟疾的传播媒介,预防蚊子叮咬是预防疟疾的关键。使用驱蚊剂,穿着长袖衣服和长裤,尽量在室内活动,使用蚊帐等。

(2) 预防服药:对于高疟区的儿童、工地民工、疫点居民和流动人口以及进入高疟区的未感染人群可进行药物预防。预防的药物常用乙胺嘧啶、磷酸伯氨喹或磷酸氯喹、哌喹。

(3) 疫苗预防:疫苗预防是最理想的疟疾预防方法。

(4) 避免前往高疟区,保持个人清洁,避免接触疟疾患者的血液和体液等也是预防疟疾的重要措施。

 

当前,输入性疟疾的防治已经成为我国保持消除疟疾状态的工作重点。如果您曾去过疟疾流行地区,出现上述相关症状,请及时就医并主动告知医生您的居住或旅行史。一旦明确诊断,要配合医生开展规范化抗疟治疗,做到早发现早治疗,避免延误治疗以及疾病进一步传播。(审核:宋立兴)