一次及时的筛查,可能挽救一条生命,守护一个家庭。清晨的自贡市第四人民医院消化内镜中心,52岁的张先生刚做完无痛胃肠镜检查。医生在内镜下发现了他乙状结肠处的一个微小病变,病理结果显示为早期结直肠癌。由于发现及时,他通过内镜黏膜下剥离术(ESD)彻底切除了肿瘤,无需开腹手术,更无需化疗。张先生是幸运的——早期消化道癌治愈率超过90%,而晚期患者五年生存率不足30%。
为什么早癌筛查如此重要?消化道早癌通常悄无声息。当出现腹痛、便血、消瘦等症状时,往往已错过最佳治疗时机。现代医学研究表明,从第一个癌细胞出现到发展成有转移能力的侵袭性癌症,通常需要10-30年时间。这为我们提供了宝贵的“机会之窗”——通过筛查在癌变早期甚至癌前阶段进行干预。
哪些人需要早癌筛查?
食管癌高风险人群包括:
1.Barrett食管,食管下段柱状上皮化生;
2.生活习惯:长期吸烟、饮酒,特别是高度酒;
3.饮食习惯:喜烫食、腌制食品;
4.头颈部肿瘤史:既往有头颈部肿瘤病史。

图示:食管早癌在内镜下NBI观察呈片状褐色改变,ME-NBI观察,微血管扭曲、紊乱。
胃癌高风险人群包括:
1.年龄:40岁以上风险显著增加;
2.家族史:一级亲属患有胃癌者;
3.感染因素:长期幽门螺杆菌感染者;
4.癌前病变:萎缩性胃炎、肠上皮化生、异型增生者;
5.地域背景:来自胃癌高发地区者。


图示:放大胃镜下早期胃癌的微结构排列紊乱,微血管呈现扭曲、形态不规则。
结直肠癌高风险人群包括:
1.年龄:45岁起风险明显增加(指南建议45岁开始筛查);
2.家族史:一级亲属患结直肠癌者;
3.病史:炎症性肠病、结直肠腺瘤病史者;
4.生活方式:长期红肉摄入、肥胖、吸烟、缺乏运动者。
重要提醒:结直肠癌在年轻人群中的发病率正以每年2%的速度上升,筛查年龄已提前至45岁。


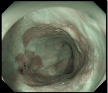
图示:结肠高分化腺癌:镜下呈隆起病变,放大内镜观察:表面结构不规则,微血管扭曲、紊乱、不规则。
先进的筛查技术:高清内镜检查(金标准),现代内镜技术已能发现毫米级的早期病变。
图像增强内镜技术:窄带成像(NBI)技术,突出显示黏膜血管模式。
蓝光成像技术:增强表面结构对比度。
放大内镜:可放大80-100倍观察微细结构。
胃癌筛查:高风险人群每2-3年内镜复查;中风险人群每5年筛查一次;低风险人群根据医生建议个体化筛查。
结直肠癌筛查:
结肠镜检查(金标准):每10年一次(正常者);
粪便免疫化学检测(FIT):每年一次;
粪便DNA检测:每3年一次。
特别提醒:
不要等到有症状才检查!消化道早癌通常无明显症状。建议风险人群定期进行胃肠镜筛查,这不仅是检查,更是一种有效的预防手段。现代无痛胃肠镜检查过程舒适,仅需15-30分钟即可完成。抓住癌症的“萌芽时刻”,给自己一个健康的未来。