认识痛得头要“炸裂”的头痛——丛集性头痛

时间:2024-10-10 浏览量:2344 来源:自贡市第四人民医院 作者:李富红

什么是丛集性头痛?

丛集性头痛是一种原发性三叉自主神经性头痛。其临床特征为严格单侧的重度疼痛,主要位于眼眶、眶上、颞部或这些部位的任意组合,伴随同侧结膜充血、流泪、鼻塞、流涕、前额和面部出汗、瞳孔缩小、上睑下垂和(或)眼睑水肿等自主神经症状和(或)烦躁不安,每次发作持续时间为15~180 min,发作频率为隔日1次到8次/d[1]。丛集性头痛的患病率约占一般人群的0.1%[2],世界不同地区的患病率可能存在差异,男女比例约为3∶1[3]。丛集期内反复剧烈头痛对患者的生活质量与工作均造成严重影响。

丛集性头痛的分型:

丛集性头痛分为发作性丛集性头痛、慢性丛集性头痛及很可能的丛集性头痛。

诊断标准

由于原发性头痛的发病率较高,头痛的诊断是可以多种头痛同时存在的。当存在多种头痛诊断时,应根据所诊断头痛对患者影响程度的大小进行排序。丛集性头痛的分类标准分为两层(第一层是丛集性头痛;第二层是发作性丛集性头痛/慢性丛集性头痛),因此头痛专病门诊或头痛中心需要给出更明确的诊断。

1.丛集性头痛的诊断标准

2.发作性丛集性头痛的诊断标准

3.慢性丛集性头痛的诊断标准

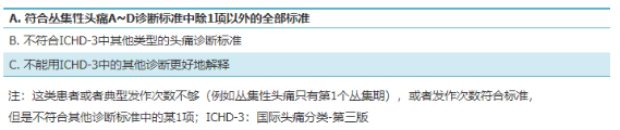
4. 很可能的丛集性头痛的诊断标准

丛集性头痛的鉴别诊断:

偏头痛 发作时间性多散在,部分可有季节性多发,头痛发生时间不固定,少数在夜间。间隙期不定,女性多与月经周期相关;发作频率不定,多数每月1~2次,每次头痛持续时间(未治疗)4-72小时,有些患者发作前有先兆表现。头痛部位多数为偏侧,可扩展为双侧,头痛性质呈搏动样多见,程度为中至重度。发作时日常活动会加重症状,可伴有恶心,呕吐,畏光或畏声。

三叉神经痛三叉神经分布区发生的电击样、刀割样、撕裂样剧痛。分为原发性和继发性三叉神经痛。原发性三叉神经痛疼痛突发突止,多有“扳机点”。部分患者MRI三叉神经根薄层扫描,可见微血管压迫三叉神经根或与三叉神经根关系密切。继发性三叉神经痛是因各种病变侵及三叉神经根、半月神经节和/或神经干所致三叉神经分布区域的疼痛。疼痛发作持续时间较长,可有神经损害的症状和体征。头颅MRI或CT检查可发现阳性病变。

颞动脉炎 又称为巨细胞性动脉炎。发病年龄多≥50岁。为一种系统性肉芽肿性血管炎,主要侵犯大、中动脉,造成肉芽肿样炎症和全层动脉炎,多累及颞动脉。临床表现与受累血管有关。颞动脉炎症状有:头痛、颞动脉异常、视力障碍,可有发热,全身乏力、食欲缺乏。头痛表现较为强烈,可在一侧或双侧,疼痛区域与炎性动脉分布一致。其他表现还有:①咀嚼暂停,张口困难、失声、吞咽困难等。②发作性脑缺血、痴呆、偏瘫或蛛网膜下腔出血等。③心肌梗死、心力衰竭、心肌炎等。所累动脉处体表可有触痛,动脉搏动减弱或消失,血沉增快, CRP升高,动脉活检或超声检查可明确诊断。4.三叉神经交感-眼交感神经综合征(Raeder综合征)持续单侧疼痛位于三叉神经眼支分布区,有时扩展至上颌支区,伴霍纳综合征。由位于颅中窝或颈动脉的病变引起。

治疗原则:

一、药物治疗

1.急性发作期治疗的核心是尽快缓解疼痛、终止发作。高流量纯氧、舒马曲普坦皮下注射以及佐米曲普坦鼻喷是丛集性头痛急性发作的一线治疗方案。其他治疗还包括奥曲肽皮下注射、口服药以及其他非药物治疗。

2.过渡期治疗药物:过渡期治疗药物可在短时间内缓解疼痛,因预防性治疗药物需在一定时间才起效。如:糖皮质激素如泼尼松、甲泼尼龙,可镇痛抗炎。

3.预防性药物治疗减少头痛发作频率、减轻头痛程度及缩短持续时间。维拉帕米、碳酸锂、托吡酯、褪黑素、丙戊酸盐(丙戊酸钠/丙戊酸镁)、加巴喷丁、钙素基因相关肽(calcitonin gene related peptide,CGRP)单克隆抗体

二、神经调控治疗

近年来,神经调控治疗也被广泛应用于丛集性头痛的治疗研究中,主要有蝶腭神经节刺激、迷走神经刺激和枕神经刺激等。对于药物疗效不佳或药物不耐受的患者,这些方法提供了新的选择。

蝶腭神经节刺激

三、心理治疗

患者因焦虑自身疾病,有心烦、易怒表现,情绪常波动,心理负担较重。如果不能自己纾解,可寻求医生进行支持性心理治疗,通过必要的安慰和疏导达到消除疑虑、增强信心的目的。

急救电话:0813-120  预约挂号电话:0813-2401126、0813-2401026 投诉电话:2300337 联系电话(传真):0813-2201981  电子邮箱:zg_120@126.com

檀木林院区:四川省自贡市自流井区檀木林街19号 汇东院区:四川省自贡市自流井区丹桂大街400号
办公时间:上午8:00-12:00,下午14:30-17:30(周一至周五,节假日除外)

蜀ICP备13006683号-1Copyright © 2002-2025 四川省自贡市第四人民医院 自贡市急救中心 四川卫生康复职业学院附属医院 All Rights Reserved