警惕老年人“人生最后一次骨折”

时间:2024-10-25 浏览量:3093 来源:自贡市第四人民医院 作者:闫挺

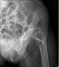
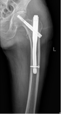
90岁的刘大爷,在洗澡时不小心滑倒至右侧“胯胯骨”痛,伴活动困难,由家属送至我院行X线片检查后诊断“股骨粗隆间粉碎性骨折”。大爷同时合并高血压、糖尿病、慢阻肺等多种基础疾病。入院后完善相关辅助检查,经过纠正贫血、电解质紊乱、调整血压血糖等积极处理,排除了绝对手术禁忌,在麻醉科、骨科团队的共同努力下成功为刘大爷实施了“股骨骨折闭合复位PFNA内固定术”,术中出血仅50ml,术后复查X片时骨折对位对线好,内固定可靠。在骨科医师及护理团队的尽心治疗及护理下,大爷恢复良好,术后5天可在助行器辅助下下地行走,术后2周正常出院。

上述刘大爷遭遇的骨折便是骨科医生口中的“人生最后一次骨折”,那什么是“人生最后一次骨折”?有什么危害?

“人生最后一次骨折”,即是老年髋部骨折,包括了股骨颈骨折、股骨粗隆间骨折。因其主要发生于老年人,而老年人身体机能较弱,且常合并高血压、糖尿病、冠心病等多种基础疾病,如未得到及时有效的治疗,短期内即可发生严重并发症(如深静脉血栓、肺部感染、褥疮等),其死亡率高达20%,且致残率高,42%的患者不能恢复伤前活动,35%不能独立行走,固被称为“人生最后一次骨折”。

髋部骨折临床特点

多发于老年人,女性多于男性,通常由间接暴力(低暴力)或直接暴力(高暴力)引起,以间接暴力多见,如滑倒摔伤。典型表现包括髋部疼痛、肿胀、活动受限,局部皮下淤血瘀斑,患肢外旋短缩畸形。

怎样治疗髋部骨折

针对老年髋部骨折,目前的治疗原则是尽早手术,尽早让患者离床活动,可使护理更加方便,减少呼吸系统、泌尿系统感染及压疮等并发症的发生,从而降低死亡率和减少髋内翻畸形的发生率。因此,对于伤前能够独立行走且无手术禁忌症的患者,推荐尽早进行手术,目前常用的手术方式包括闭合复位髓内钉内固定、关节置换、外固定架固定等。对于伤前不能行走的患者、疾病晚期患者及内科情况不能耐受手术的患者等,只能采取保守治疗。保守治疗需患肢牵引制动(时长约8-12周),牵引过程中需加强护理(定时翻身、踝泵运动等),预防相关卧床并发症。

如何预防髋部骨折

1.积极防治骨质疏松。骨质疏松是老年髋部骨折的高危因素,老年人,特别是老年女性,应定期行骨密度检查,对于有骨质疏松的人群,应积极抗骨质疏松治疗。

2.适量运动。老年人可进行适当程度的锻炼,有助于增加骨密度,促进骨骼健康,提高肌肉力量及协调性,减少摔倒风险。

3.防护措施。改善居家环境,清除家中障碍物,在浴室、厕所等湿滑地方放置防滑垫,雨雪天气减少外出,外出时穿防滑鞋。

急救电话:0813-120  预约挂号电话:0813-2401126、0813-2401026 投诉电话:2300337 联系电话(传真):0813-2201981  电子邮箱:zg_120@126.com

檀木林院区:四川省自贡市自流井区檀木林街19号 汇东院区:四川省自贡市自流井区丹桂大街400号
办公时间:上午8:00-12:00,下午14:30-17:30(周一至周五,节假日除外)

蜀ICP备13006683号-1Copyright © 2002-2025 四川省自贡市第四人民医院 自贡市急救中心 四川卫生康复职业学院附属医院 All Rights Reserved